Cargando pagina por favor espere...
Caso 13
Autor:
Rubén Roca González
Haz click en las imágenes para verlas ampliadas
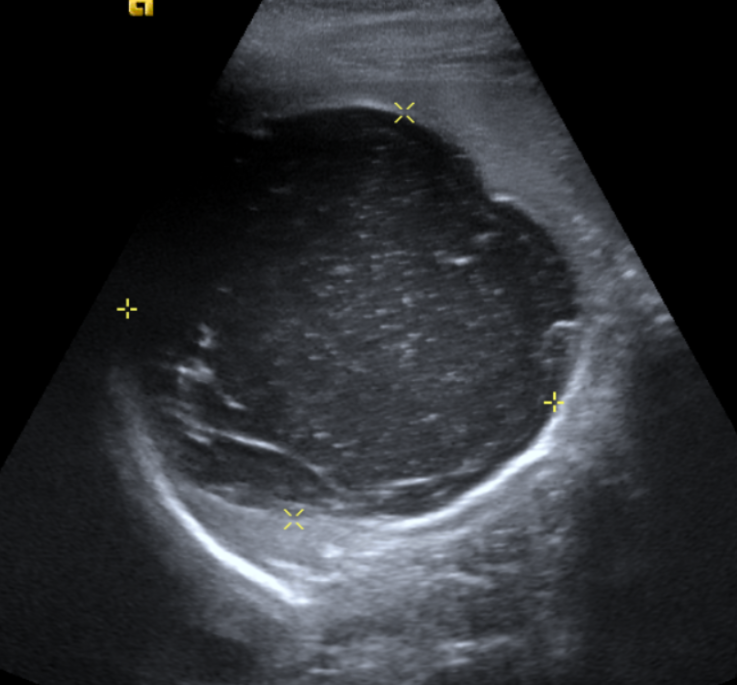
Hallazgos radiológicos: