Cargando pagina por favor espere...
Caso 27
Autor:
Irene Prieto Campo
Haz click en las imágenes para verlas ampliadas
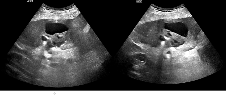
HALLAZGOS RADIOLÓGICOS