Cargando pagina por favor espere...

  Inicio   |   Contactar   |   Aviso legal  
     

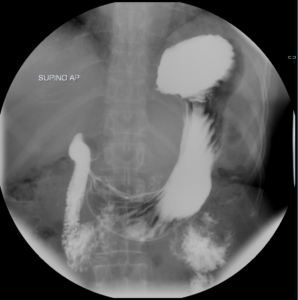
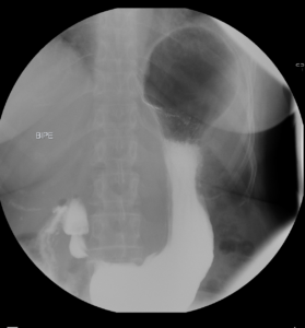
Caso 34

     
 

Autor:

 

Marta Mascheroni

 

 

Tránsito EGD

Haz click en las imágenes para verlas ampliadas