Cargando pagina por favor espere...
Caso 49
Autor:
Ángela Guerrero Martín
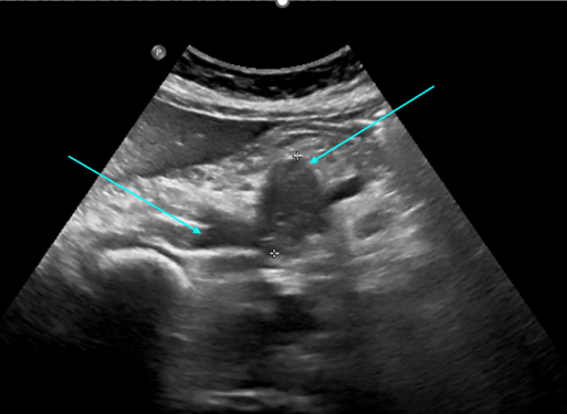
Eco-doppler abdominal
Ecografía adbominal
Ecografía abdominal
Haz click en las imágenes para verlas ampliadas
Hallazgos radiológicos: