Cargando pagina por favor espere...
Caso 19
Autor:
Lucia Conesa Armero
RM (T2 – FLAIR) RM (T1 – contraste IV)
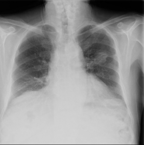
Rx PA de tórax
Haz click en las imágenes para verlas ampliadas
Hallazgos radiológicos: