Cargando pagina por favor espere...
Caso 27
Autor:
Cristina Carmona Lopez
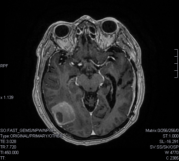
RM (T1)
RM (T1 con contraste IV)
RM (T2)
Haz click en las imágenes para verlas ampliadas
HALLAZGOS RADIOLÓGICOS