Cargando pagina por favor espere...
Caso 34
Autor:
Violeta Manresa Rodríguez
Haz click en las imágenes para verlas ampliadas
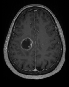
HALLAZGOS RADIOLÓGICOS