Cargando pagina por favor espere...

  Inicio   |   Contactar   |   Aviso legal  
     

Caso 13

     
 

Autor:

 

Elena Villa Campillo

 

 

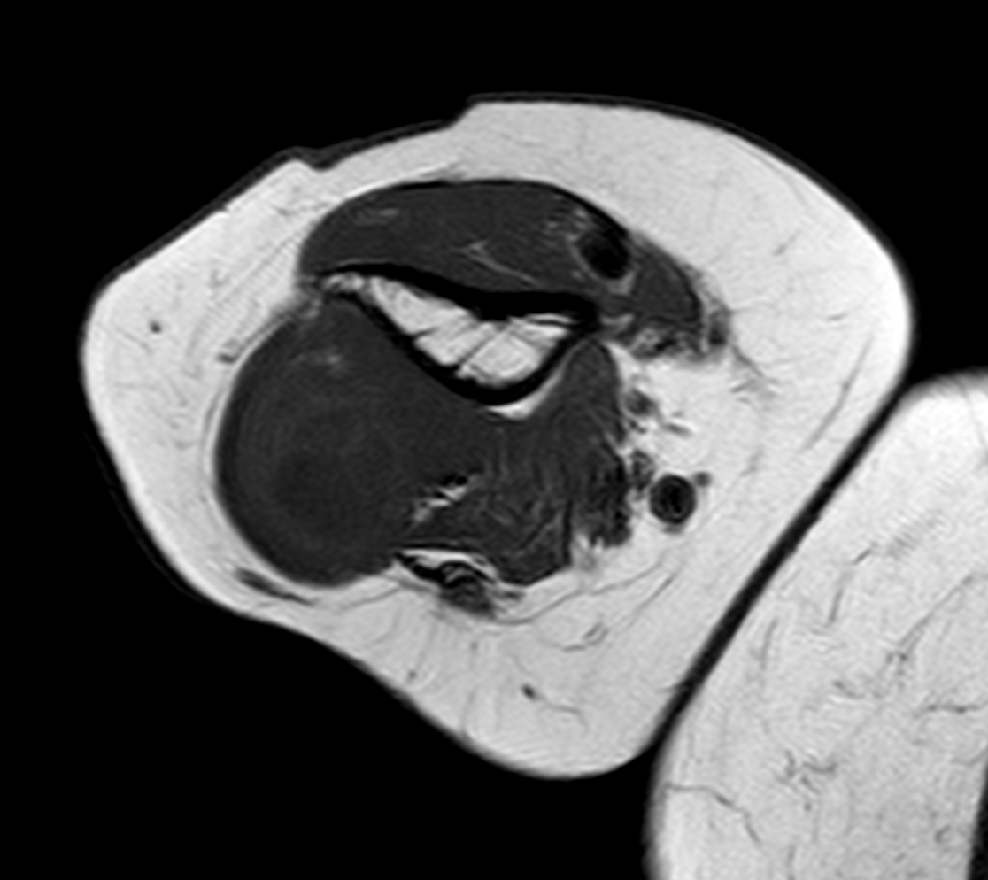
D. RM simple

RM (T1 axial)
RM (T2 axial)
RM (T1 C+)

RM (DP-Supresion grasa)
RM (DP-supresion grasa, sagital)

RM (T1-supresion grasa con contraste IV)

Haz click en las imágenes para verlas ampliadas