Cargando pagina por favor espere...
Caso 25
Autor:
Nuria López García
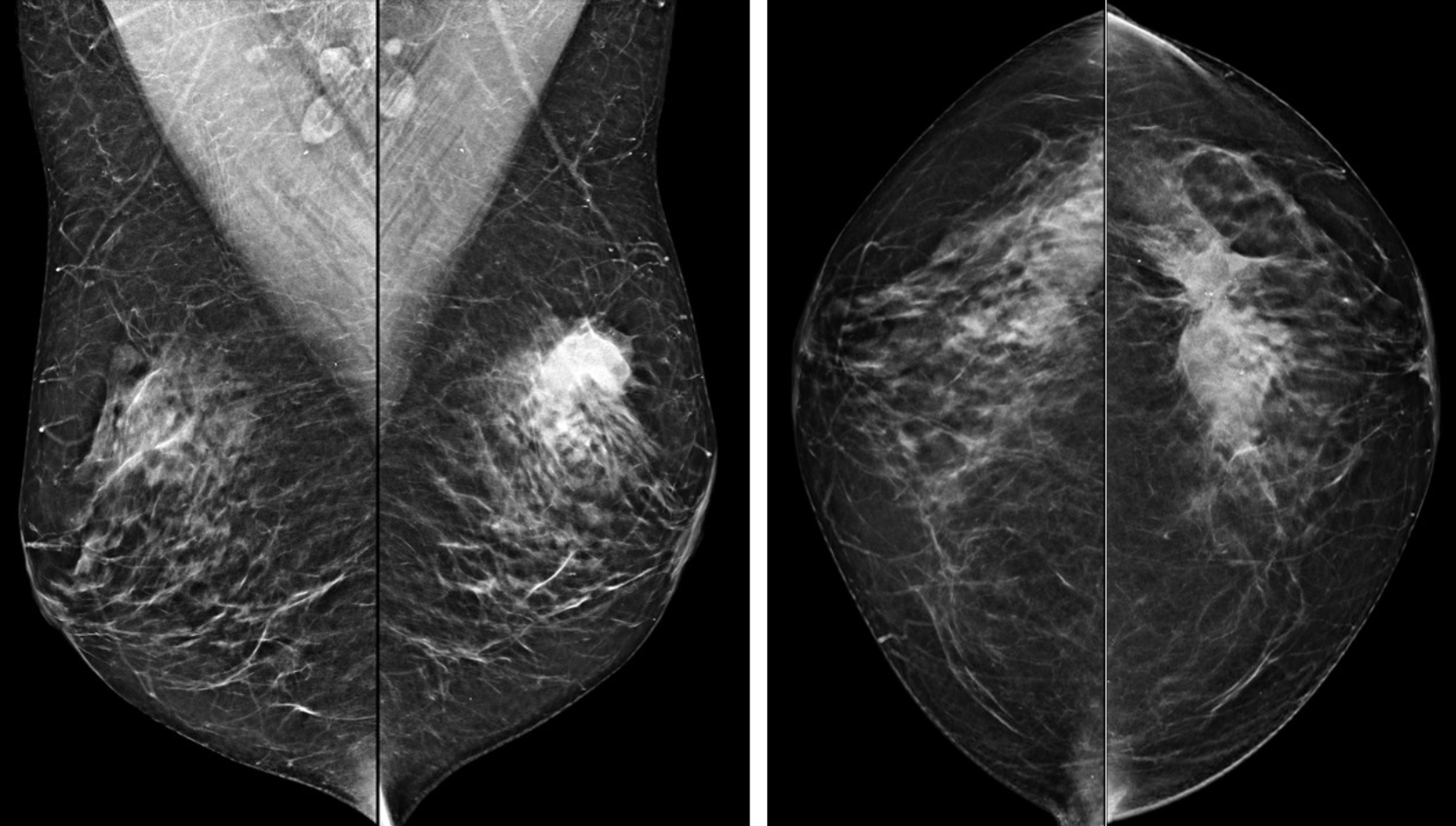
Estudio mamográfico de ambas mamas.
Haz click en las imágenes para verlas ampliadas
HALLAZGOS RADIOLÓGICOS