Cargando pagina por favor espere...

  Inicio   |   Contactar   |   Aviso legal  
     

Caso 01

     
 

Autor:

 

Juan Luis Martinez Garcia

 

 

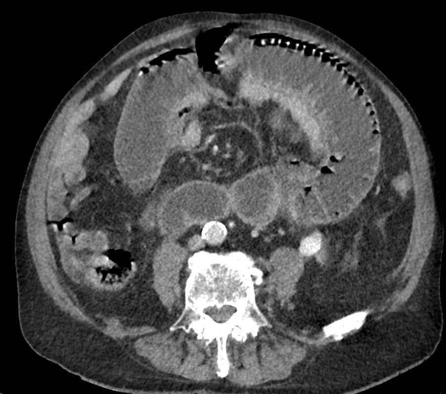
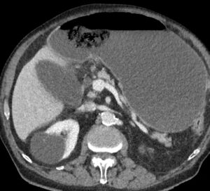
TC axial con contraste IV en fase portal.
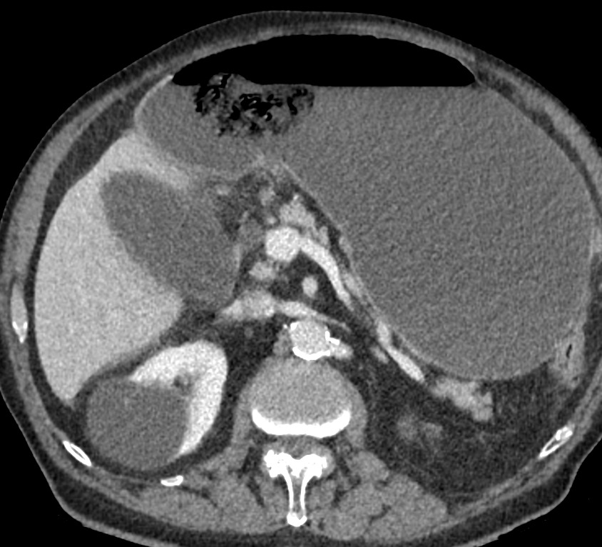
TC axial con contraste IV en fase portal.
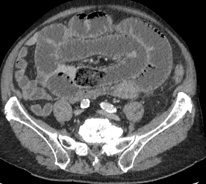
TC axial con contraste IV en fase portal.

Haz click en las imágenes para verlas ampliadas