Cargando pagina por favor espere...

  Inicio   |   Contactar   |   Aviso legal  
     

Caso 01

     
 

Autor:

 

Juan Luis Martinez Garcia

 

 

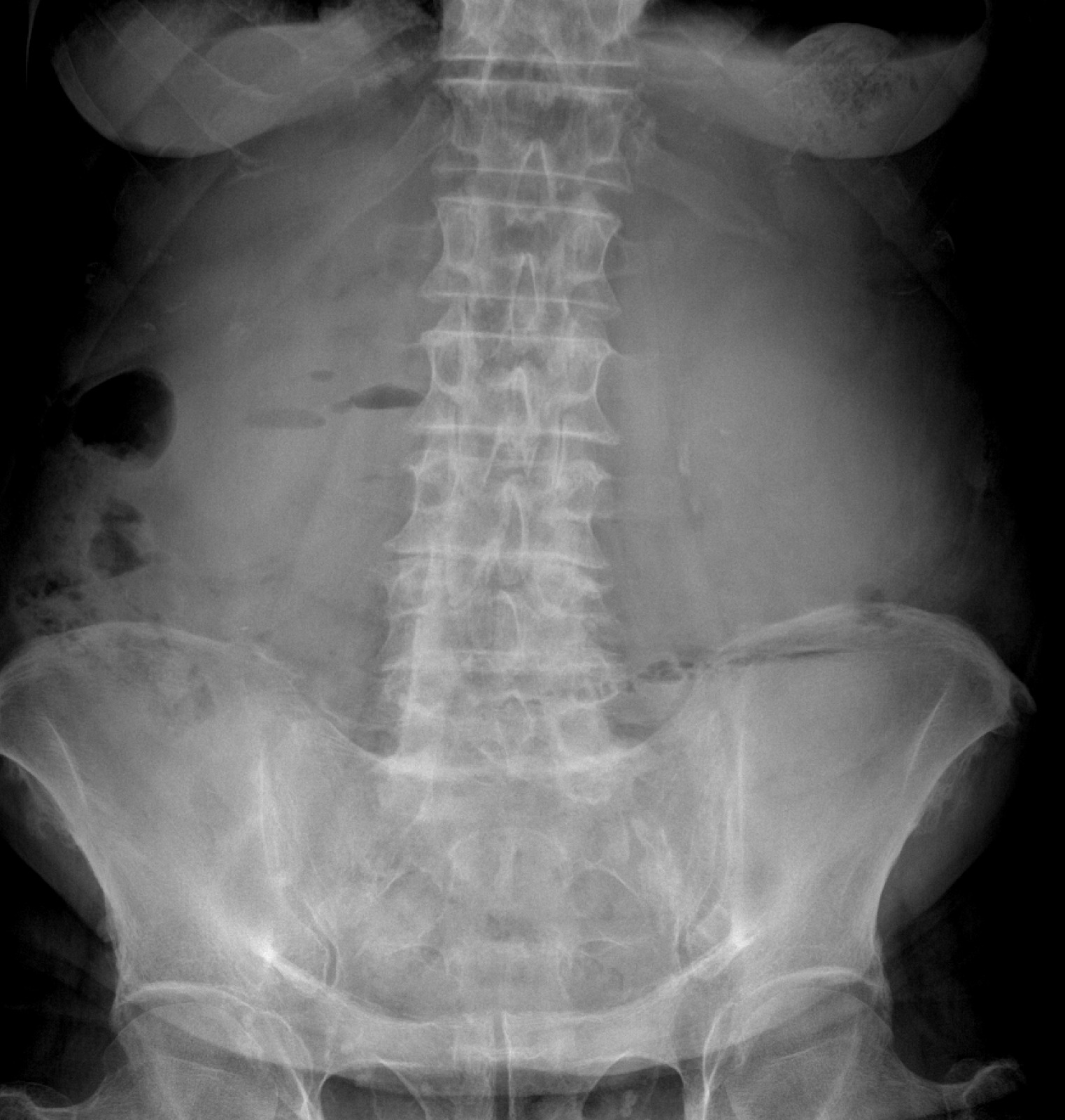
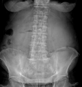
Rx AP bipedestación de abdomen.

Haz click en las imágenes para verlas ampliadas