Cargando pagina por favor espere...
Caso 02
Autor:
Emanuele Barsotti
Haz click en las imágenes para verlas ampliadas
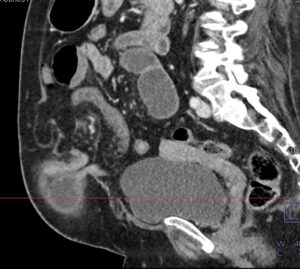
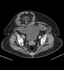
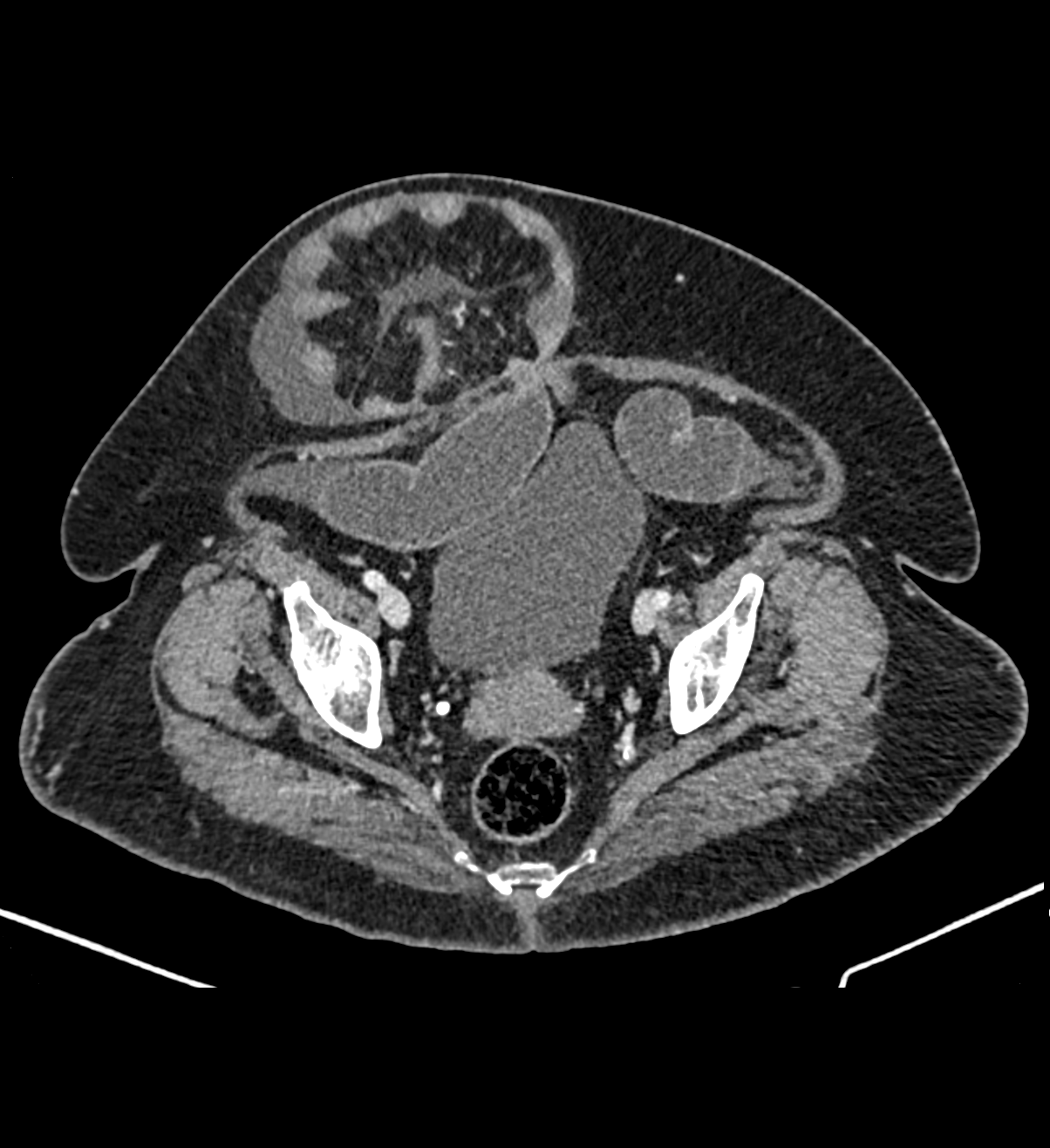
HALLAZGOS RADIOLÓGICOS