Cargando pagina por favor espere...

  Inicio   |   Contactar   |   Aviso legal  
     

Caso 02

     
 

Autor:

 

Emanuele Barsotti

 

 

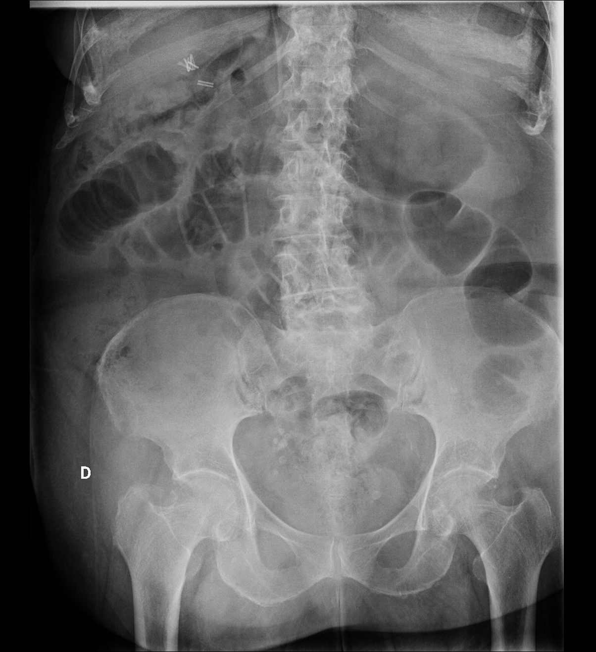
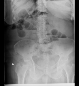
Rx en decúbito supino y en bipedestación

Haz click en las imágenes para verlas ampliadas