Cargando pagina por favor espere...

  Inicio   |   Contactar   |   Aviso legal  
     

Caso 03

     
 

Autor:

 

Pablo Corral Munoz

 

 

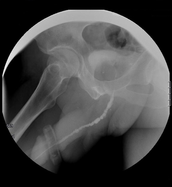
Uretrografía Retrógrada (UGR)

Cistouretrografía miccional seriada (CUMS)

Haz click en las imágenes para verlas ampliadas