Cargando pagina por favor espere...
Caso 04
Autor:
Maria Alcaraz Hernandez
Haz click en las imágenes para verlas ampliadas
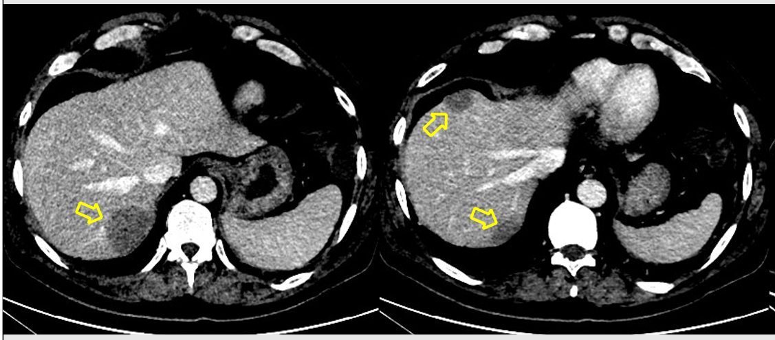
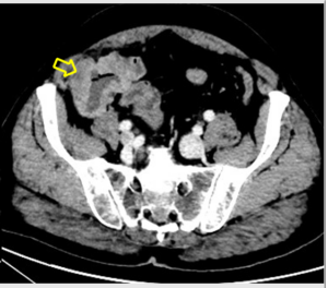
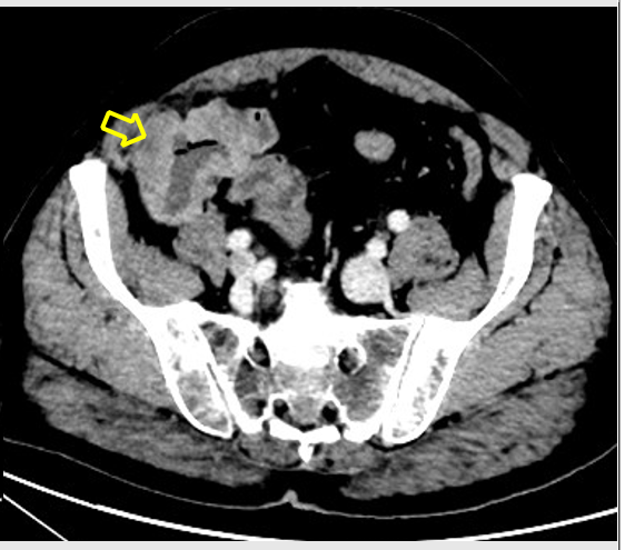
HALLAZGOS RADIOLÓGICOS