Cargando pagina por favor espere...

  Inicio   |   Contactar   |   Aviso legal  
     

Caso 02

     
 

Autor:

 

Luis Carlos Jimenez Torres

 

 

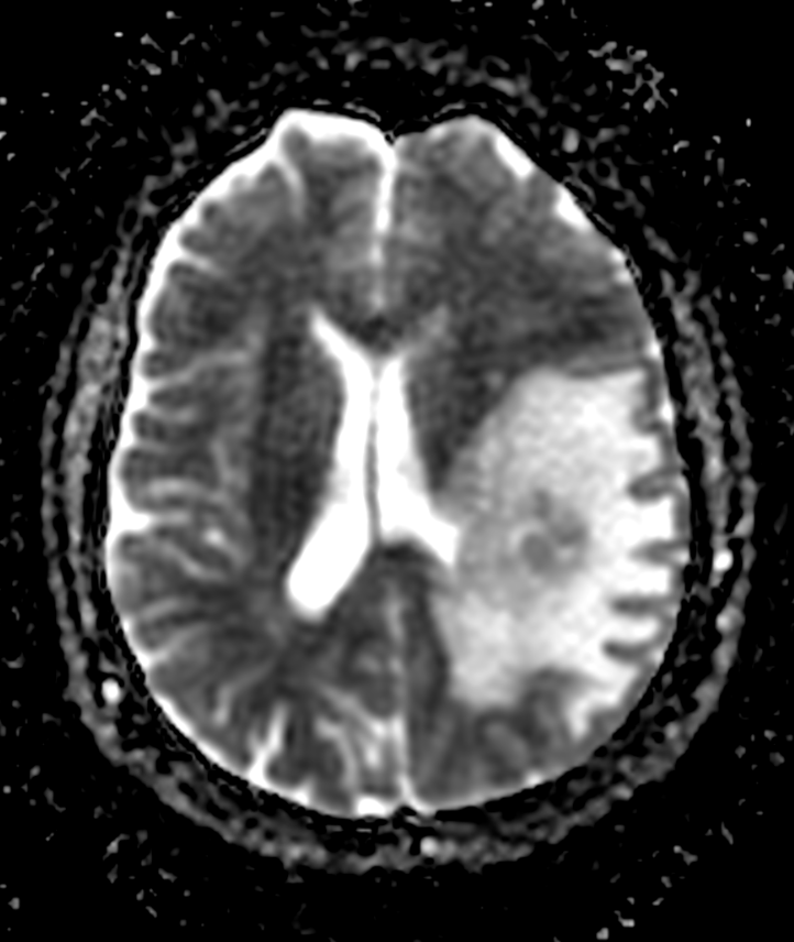
Mapa ADC (RM difusión)
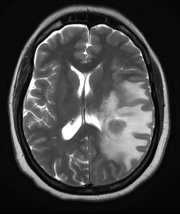
RM T2

Haz click en las imágenes para verlas ampliadas