Cargando pagina por favor espere...
Caso 02
Autor:
Luis Carlos Jimenez Torres
Haz click en las imágenes para verlas ampliadas
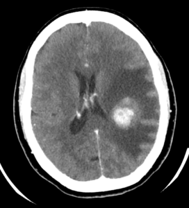
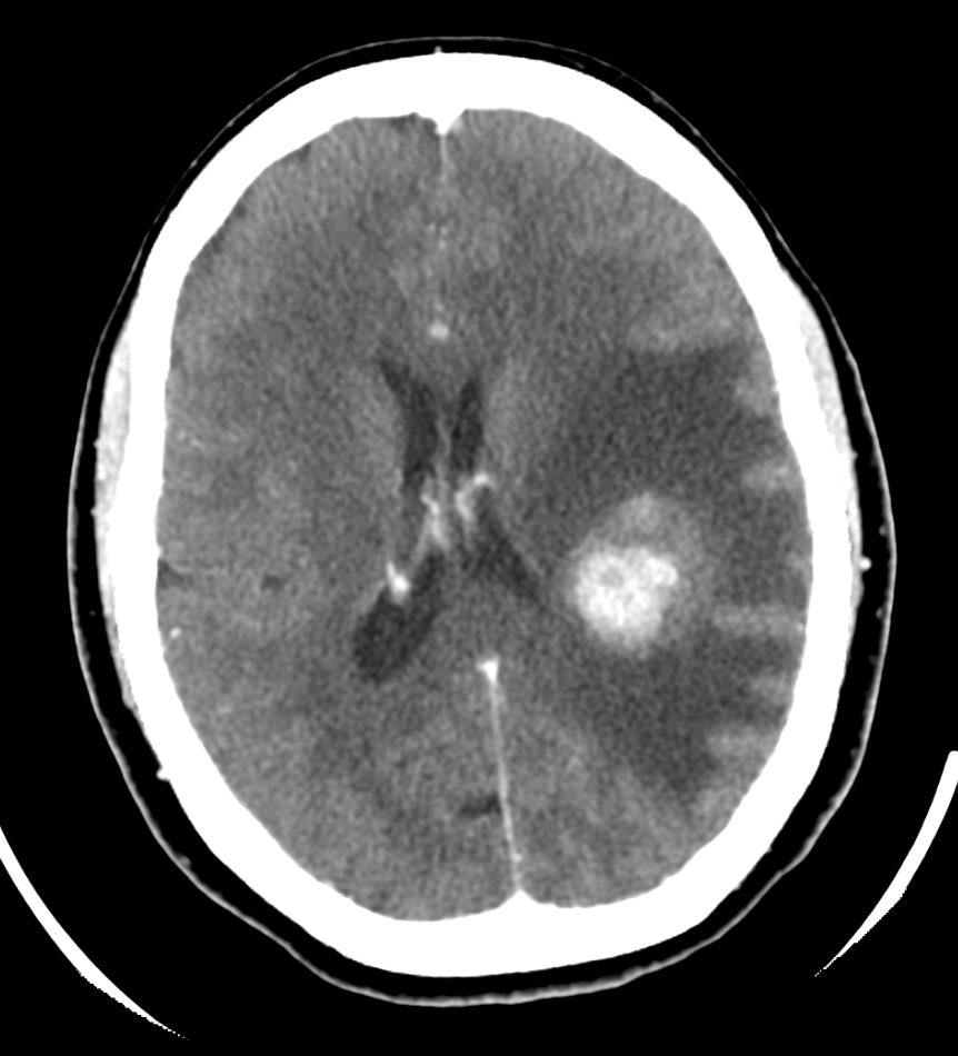
HALLAZGOS RADIOLÓGICOS