Cargando pagina por favor espere...
Caso 01
Autor:
Alejandro Ruiperez Jimenez
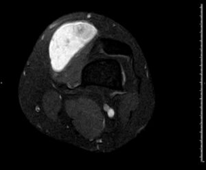
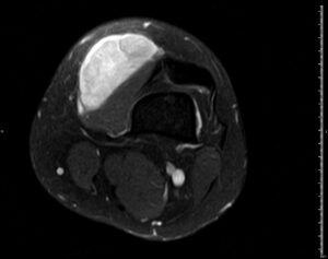
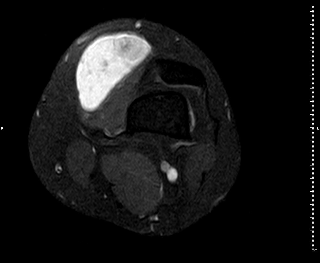
RM T1 con supresión grasa y contraste IV
Haz click en las imágenes para verlas ampliadas
HALLAZGOS RADIOLÓGICOS