|
4
RM Pierna Derecha. Secuencia T2 Supresión grasa, corte sagital.

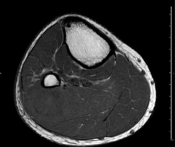
RM Pierna Derecha. Secuencia T1, corte axial.

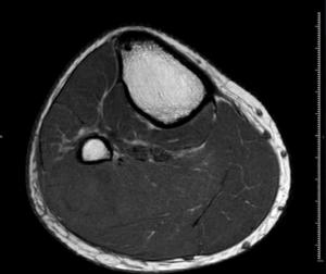
RM Pierna Derecha. Secuencia T2, corte axial

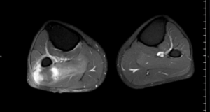
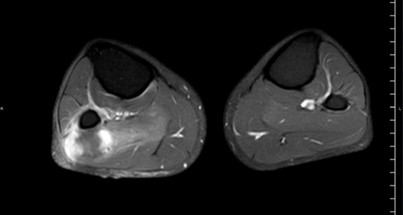
RM Miembros Inferiores. Secuencia T1 supresión grasa con contraste IV, corte axial
Haz click
en las imágenes para verlas ampliadas
|