DIAGNÓSTICO FINAL: Enfermedad por depósito de HAC.
DISCUSIÓN:
La enfermedad por depósito de hidroxiapatita (HAD) es una afección caracterizada por la acumulación de cristales de hidroxiapatita en tejidos blandos, incluidos tendones, ligamentos y cápsulas articulares.
Puede provocar dolor, inflamación y restricción del movimiento articular. Suele afectar los hombros, pero también al resto de articulaciones. La HAD es uno de los principales factores que contribuyen al dolor y la rigidez articular.
La clínica típica de dolor nocturno en reposo incluye: dolor intenso que despierta al paciente, sensación de dolor “interno” o “profundo” que puede irradiarse hacia el lateral del brazo o la región deltoidea o imposibilidad de encontrar una postura cómoda, entre otros síntomas.
Esto ocurre porque, cuando los cristales se depositan en el tendón, el cuerpo va a tratar de reabsorberlos, y esto provoca: ruptura del depósito calcificado, liberación de cristales al tejido vecino, activación intensa del sistema inflamatorio, edema y aumento de presión local, dando lugar a un dolor intenso, pulsátil e incapacitante.
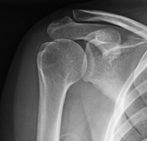
La radiografía nos permite evaluar la localización, la morfología, el tamaño y la densidad de las calcificaciones, pudiendo así clasificarlas. En el hombro, las proyecciones más útiles para tales efectos son la anteroposterior, outlet y las anteroposterior con rotación interna y externa.
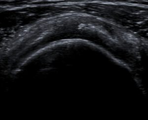
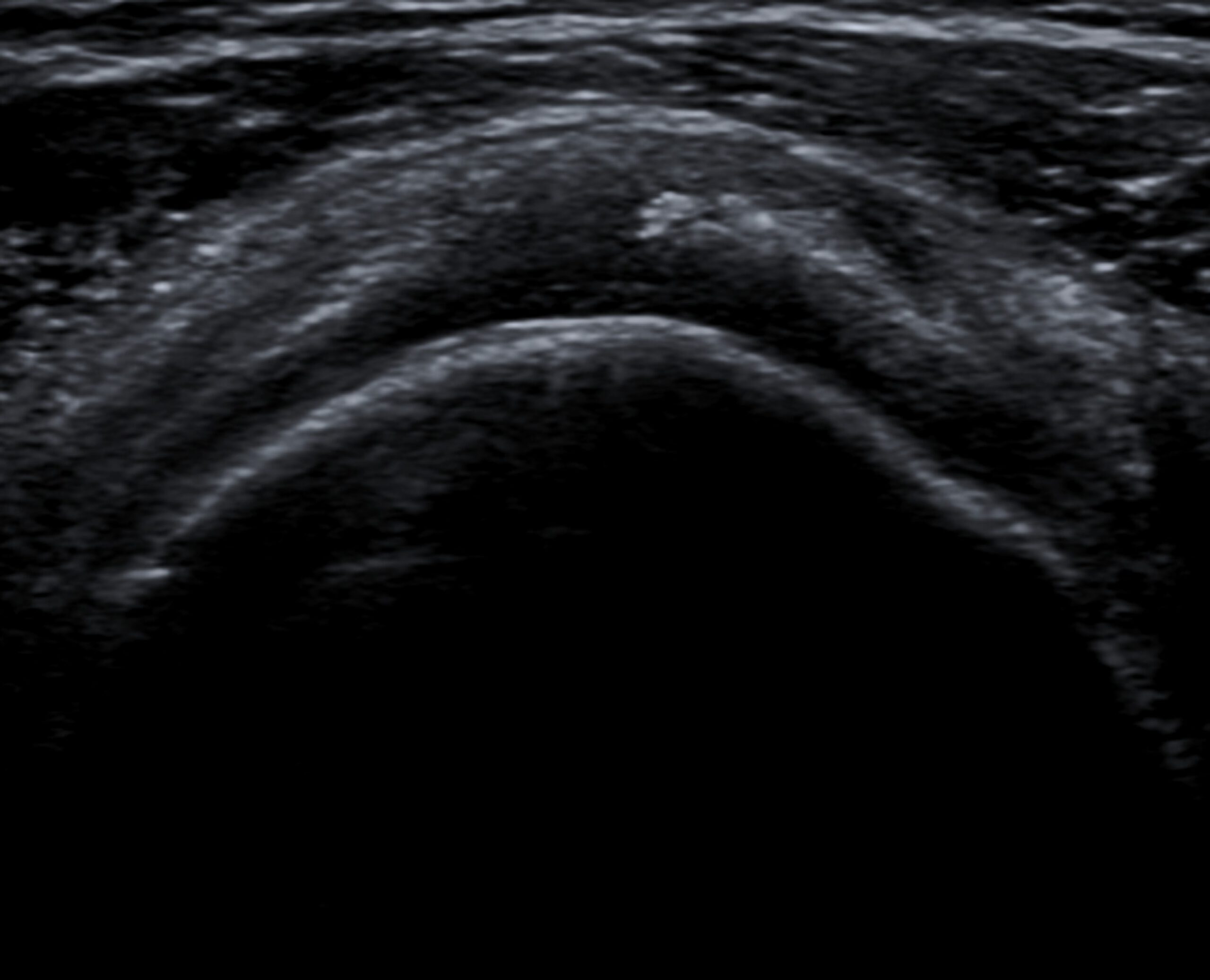
La ecografía juega un rol fundamental en el diagnóstico de la tendinopatía cálcica. Permite la caracterización de las calcificaciones, incluyendo la forma, tamaño y morfología. A diferencia de la radiografía, la ecografía tiene mejor correlación con las fases de la tendinopatía cálcica, y por ende mejor correlación con la sintomatología. En la fase de reposo, las calcificaciones presentan un arco ecogénico bien definido asociado a sombra acústica posterior, mientras que en la fase reabsortiva se presentan menos definidas, con morfología polimorfa, con sombra acústica parcial o ausente. En este caso, en eco se ve una imagen lineal ecogénica con sombra posterior (calcificación) en el tendón supraespinoso.
La técnica del lavado ecoguiado de las calcificaciones de hombro consiste en la colocación de una aguja bajo anestesia local en el centro de la calcificación, de tal forma que mediante la inyección a presión de suero salino o anestésico se rompa la calcificación y se vacíe el material cálcico a la jeringa utilizada para el lavado. En la eco y Rx de control se visualiza reducción significativa de la calcificación:

