Cargando pagina por favor espere...
Caso 04
Autor:
Pablo Ceferino Martinez
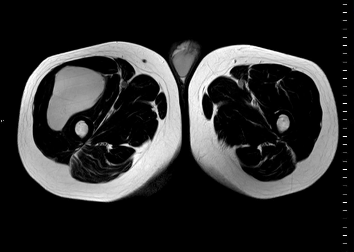
RM t2 axial
RM t1 supresion grasa con gadolinIo IV
Haz click en las imágenes para verlas ampliadas
HALLAZGOS RADIOLÓGICOS