Cargando pagina por favor espere...

  Inicio   |   Contactar   |   Aviso legal  
     

Caso 04

     
 

Autor:

 

Pablo Ceferino Martinez

 

 

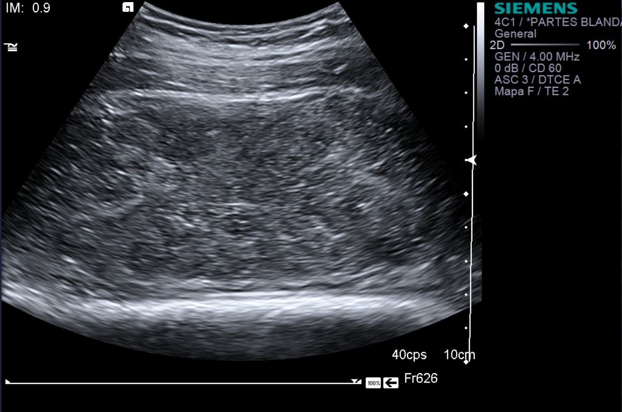
eco modo b
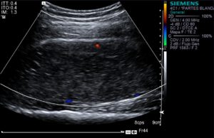
eco doppler
eco doppler

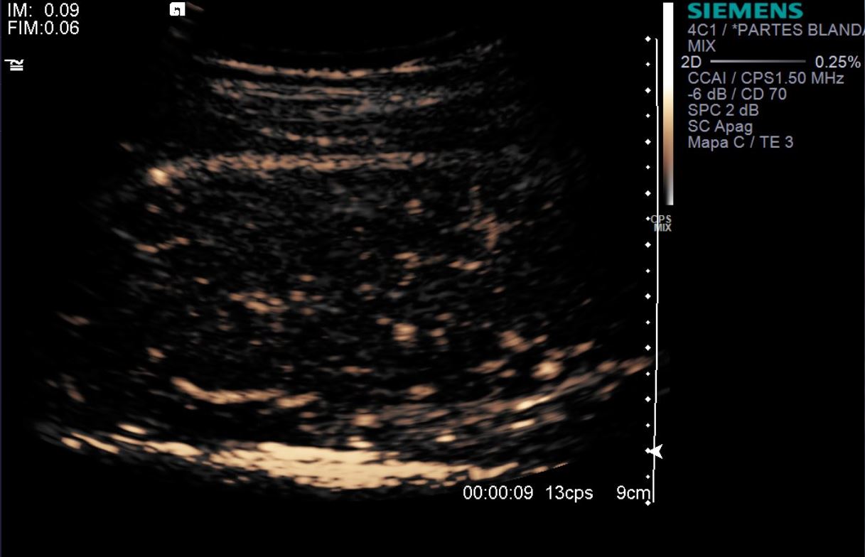
eco con contraste IV

Haz click en las imágenes para verlas ampliadas