Cargando pagina por favor espere...
Caso 05
Autor:
Javier Acosta Perez
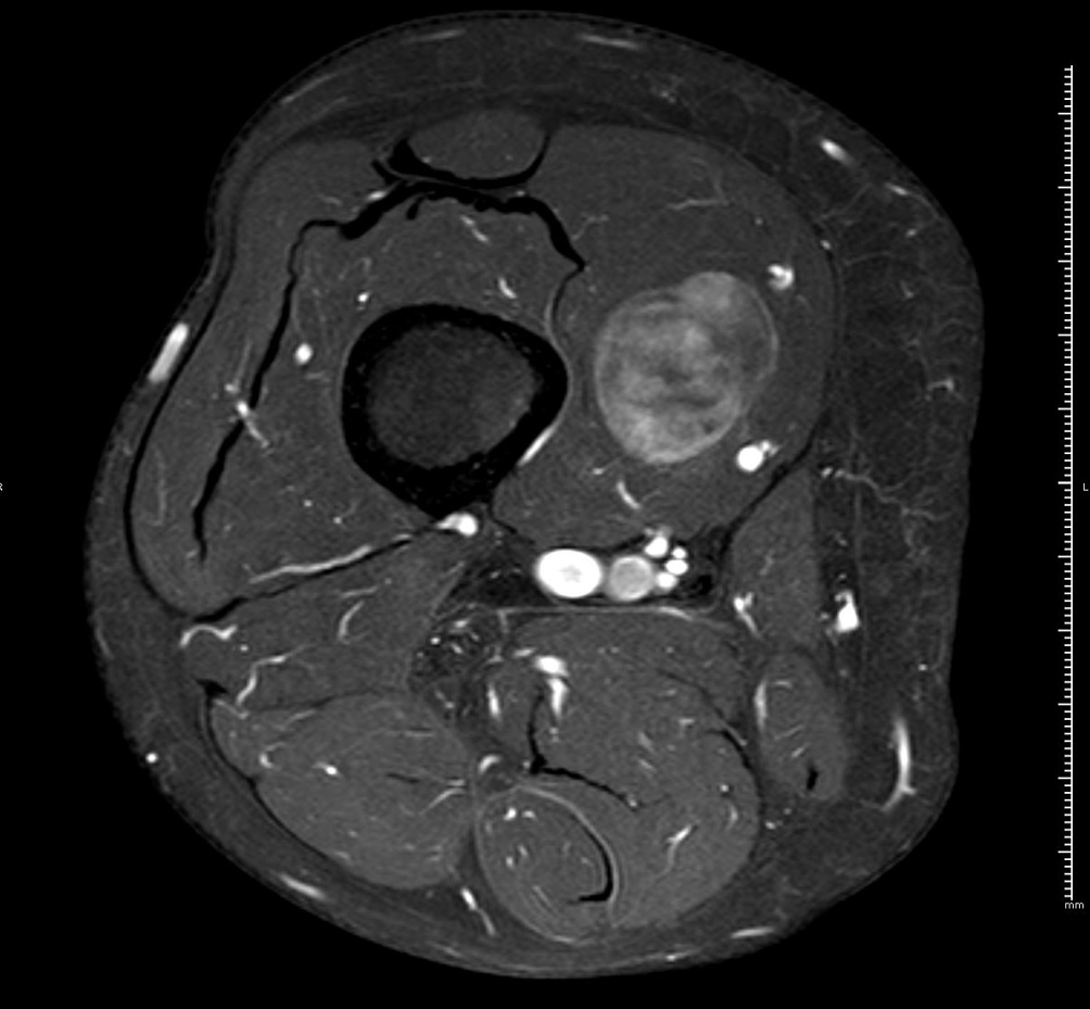
RM axial T1 con supresión grasa y gadolinio iv.
Haz click en las imágenes para verlas ampliadas
HALLAZGOS RADIOLÓGICOS