Cargando pagina por favor espere...

  Inicio   |   Contactar   |   Aviso legal  
     

Caso 05

     
 

Autor:

 

Javier Acosta Perez

 

 

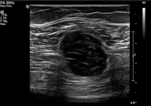
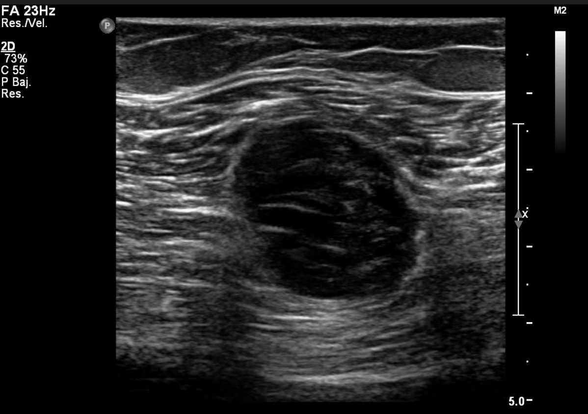
Ecografía modo B
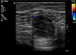
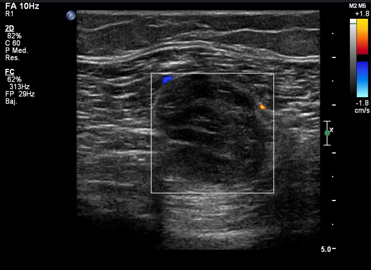
Ecografía Doppler.

Haz click en las imágenes para verlas ampliadas