Cargando pagina por favor espere...

  Inicio   |   Contactar   |   Aviso legal  
     

Caso 24

     
 

Autor:

 

Andrea Canaveras Espín

 

 

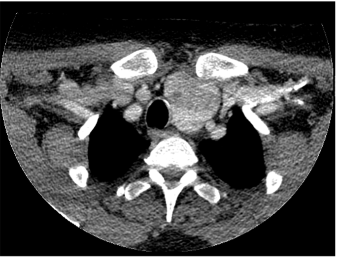
TC cervicotorácico con contraste.
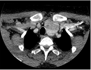
TC cervicotorácico con contraste.
TC cervicotorácico con contraste.

Haz click en las imágenes para verlas ampliadas