Cargando pagina por favor espere...

  Inicio   |   Contactar   |   Aviso legal  
     

Caso 41

     
 

Autor:

 

Maria Lopez Mateo

 

 

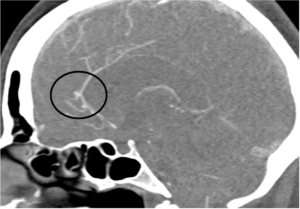
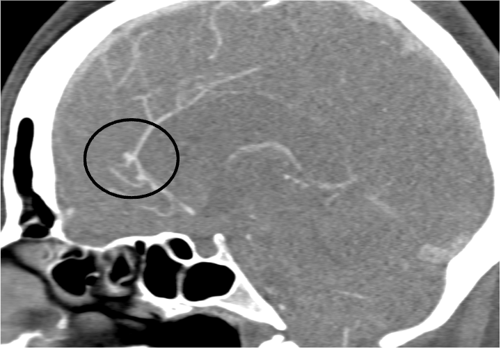
Angio-TC craneal (reconstrucción sagital LADO IZQUIERDO).

Haz click en las imágenes para verlas ampliadas