Cargando pagina por favor espere...

  Inicio   |   Contactar   |   Aviso legal  
     

Caso 44

     
 

Autor:

 

Licia Andreana Fenu

 

 

RM SAGITAL T1+C

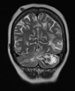
RM CORONAL T2

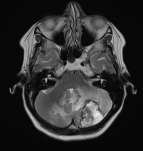
RM AXIAL T2

RM MAMA STIR

Haz click en las imágenes para verlas ampliadas