Cargando pagina por favor espere...

  Inicio   |   Contactar   |   Aviso legal  
     

Caso 15

     
 

Autor:

 

Eva García Muñoz

 

 

 

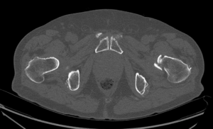
TC simple axial

 

 

TC coronal simple

Haz click en las imágenes para verlas ampliadas