Cargando pagina por favor espere...

  Inicio   |   Contactar   |   Aviso legal  
     

Caso 01

     
 

Autor:

 

Ana Arenas Parra

 

 

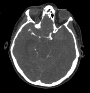
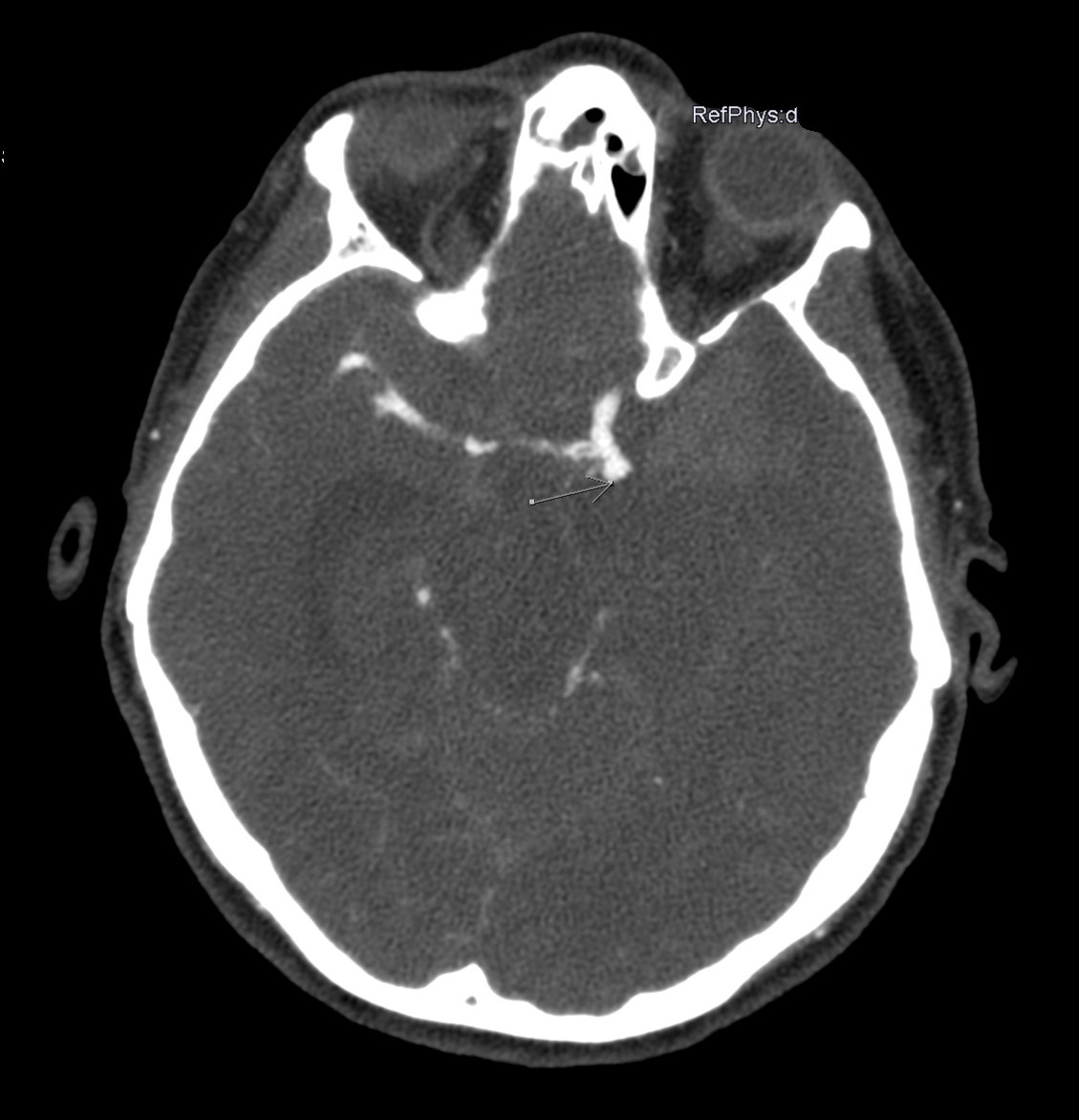
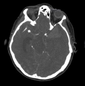
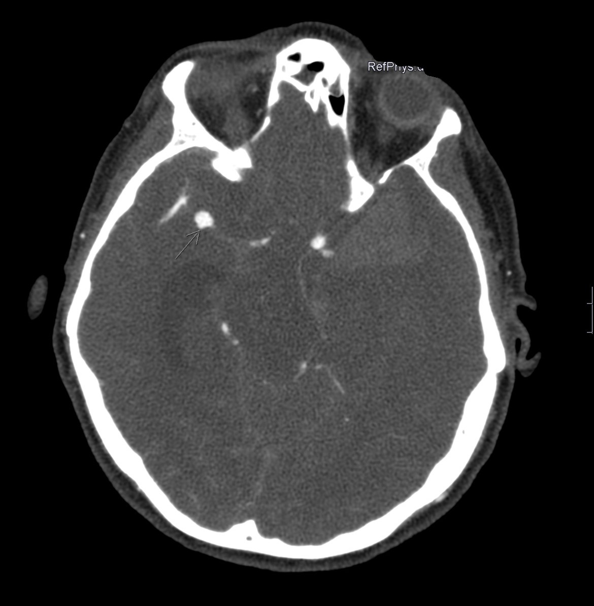
Angio-TC craneal
Angio-TC craneal
Angio-TC craneal

Haz click en las imágenes para verlas ampliadas